Karyotyping is a powerful laboratory technique used to study chromosomes and identify genetic abnormalities. It plays a crucial role in medical diagnostics, research, and prenatal screening by helping scientists and healthcare professionals understand chromosomal structures and detect disorders.
With the growing importance of genetic testing in modern healthcare, karyotyping has become an essential tool for diagnosing inherited conditions, cancers, and developmental disorders.
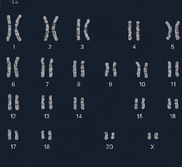
What is Karyotyping?
Karyotyping is the process of arranging and analyzing chromosomes in a cell. Chromosomes are structures within cells that contain DNA, which carries genetic information. In humans, a normal karyotype consists of 46 chromosomes arranged in 23 pairs.
This technique allows scientists to examine the number, size, and shape of chromosomes to identify abnormalities such as missing, extra, or rearranged chromosomes.
The Karyotyping Process
The process of karyotyping involves several steps:
1. Cell Collection
Cells are collected from blood, bone marrow, amniotic fluid, or tissue samples.
2. Cell Culture
The collected cells are grown in a controlled environment to encourage division.
3. Chromosome Staining
Cells are stained to make chromosomes visible under a microscope.
4. Microscopic Analysis
Chromosomes are observed and photographed using advanced microscopy.
5. Arrangement and Interpretation
The chromosomes are arranged in pairs and analyzed for abnormalities.
This systematic approach ensures accurate detection of genetic conditions.
Applications of Karyotyping
Karyotyping is widely used in various fields:
1. Genetic Disorder Diagnosis
It helps detect conditions such as Down syndrome, Turner syndrome, and other chromosomal abnormalities.
2. Cancer Diagnosis
Certain cancers are associated with chromosomal changes, which can be identified through karyotyping.
3. Prenatal Testing
Karyotyping is used to analyze fetal chromosomes and detect potential genetic issues before birth.
4. Infertility Investigations
It helps identify chromosomal causes of infertility in both men and women.
5. Research and Biotechnology
Scientists use karyotyping to study genetic structures and mutations.
Importance of Karyotyping in Modern Healthcare
Karyotyping provides valuable insights into genetic health and plays a key role in early diagnosis and treatment planning. It helps:
- Detect genetic abnormalities early
- Guide treatment decisions
- Support genetic counseling
- Improve patient outcomes
By identifying chromosomal issues at an early stage, healthcare providers can take preventive or corrective measures.
Advantages of Karyotyping
- Accurate identification of chromosomal abnormalities
- Useful in both diagnosis and research
- Applicable across multiple medical fields
- Helps in early detection of genetic disorders
Limitations of Karyotyping
While karyotyping is highly effective, it has some limitations:
- Cannot detect very small genetic mutations
- Requires skilled professionals and advanced equipment
- Time-consuming compared to some modern techniques
Despite these limitations, it remains a widely used and trusted diagnostic method.
Future of Karyotyping
The future of karyotyping is being shaped by advancements in technology:
- Digital Imaging: Enhances chromosome analysis
- Automation: Speeds up the process
- Integration with Molecular Techniques: Improves accuracy
- AI-Based Analysis: Reduces human error
These innovations are making genetic diagnostics more efficient and accessible.
Conclusion
Karyotyping is a fundamental technique in genetics that provides critical insights into chromosomal structures and abnormalities. Its applications in diagnosing genetic disorders, cancer, and prenatal conditions make it an essential tool in modern healthcare.
As technology continues to evolve, karyotyping will become even more precise and efficient, further enhancing its role in improving patient care and advancing scientific research.
FAQs on Karyotyping
1. What is karyotyping used for?
Karyotyping is used to analyze chromosomes and detect genetic abnormalities or disorders.
2. How long does karyotyping take?
It typically takes a few days to a couple of weeks, depending on the sample and lab process.
3. Is karyotyping safe?
Yes, it is a safe and commonly used diagnostic procedure.
4. What conditions can karyotyping detect?
It can detect Down syndrome, Turner syndrome, and other chromosomal abnormalities.
5. What samples are used for karyotyping?
Blood, bone marrow, amniotic fluid, and tissue samples are commonly used.

